

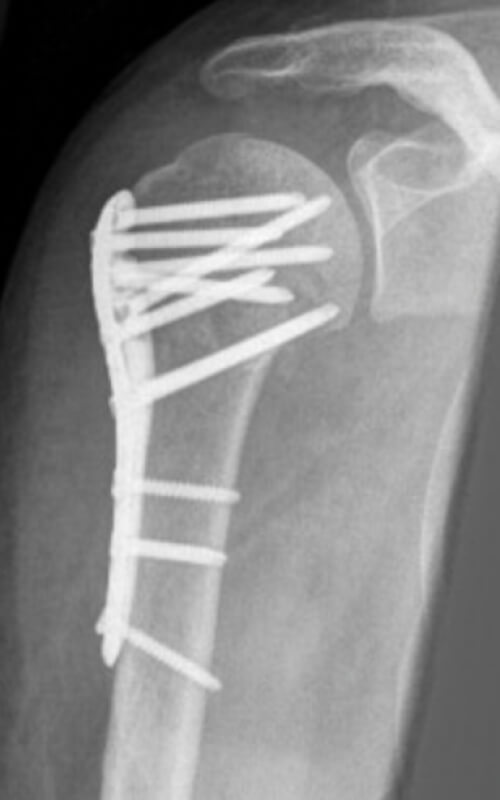
L’osteosintesi è l’intervento chirurgico, eseguito a cielo aperto, che permette di riallineare e fissare i frammenti ossei dovuti a una frattura. Tanto nel caso dell’omero prossimale, quando nel caso della clavicola, se la frattura è scomposta si procede quindi con questa pratica chirurgica, durante la quale le parti ossee vengono riposizionate e fissate tramite placche e viti o chiodo endomidollare.


La tipologia di frattura determina la scelta del trattamento. Se non c’è dislocazione delle parti ossee, si preferisce optare per l’immobilizzazione con tutore a cui seguirà un percorso di recupero. In caso di fratture scomposte, la chirurgia è imprescindibile.
Scopri di più sulle fratture dell’omero prossimale e della clavicola.
La spalla fa parte di una struttura che in ambito medico viene chiamata cingolo scapolare. Tale struttura collega gli arti superiori al tronco e può essere interessata da fratture e lussazioni.